Services

Our Services

Advanced Medicine, Trusted Care

Apakah Anda memiliki permasalahan dengan gigi dan ingin mengenal lebih dalam pelayanan kesehatan gigi? Ayo lihat dan kenali semua layanan kesehatan gigi di Kyoreen Dental Aesthetic.

Konsultasi Gigi

Konsultasi gigi di Kyoreen Dental Aesthetic memberikan layanan terbaik dari dokter gigi terbaik dan berpengalaman yang ada, dengan fasilitas perawatan gigi yang terdepan.

Learn More

Dental Check Up

Pemeriksaan rutin gigi membantu mendeteksi masalah kesehatan gigi dan mulut. Menangani permasalahan gigi dan mulut lebih dini serta mencegah sakit jauh lebih baik.

Learn More

Oral Profilaksis

Merupakan tindakan pertama pada Anak pada saat kunjungan ke Kyoreen dental Aesthetic, berguna untuk membersihkan gigi dan rongga mulut dengan alat dan bahan khusus.

Learn More

Perawatan Gigi Anak

Perawatan gigi anak berbeda dengan orang dewasa. Dokter Gigi Anak di Kyoreen Dental Aesthetic, mengerti karakter anak dan berpengalaman dengan ruangan yang nyaman.

Learn More

Penambalan Gigi

Gigi berlubang menghambat senyuman indahmu, lakukan penambalan gigi. Konsultasikan pada tim Dokter Gigi Kyoreen Dental Aesthetic yang sudah berpengalaman dan ahli.

Learn More

Pencabutan Gigi

Pencabutan gigi merupakan prosedur yang dilakukan jika gigi yang bermasalah tidak bisa diperbaiki lagi. Prosedur ini bisa dilakukan dengan sederhana atau dengan pembedahan.

Learn More

Perawatan Syaraf Gigi

Prosedur perawatan saraf gigi diperlukan saat bagian gigi terdalam rusak dan terinfeksi sehingga saraf gigi tidak mati dan gigi tidak tanggal. Klik untuk lihat lebih lanjut...

Learn More

Paket Dental Scaling

Dental scaling adalah prosedur pembersihan karang gigi untuk kesehatan gigi dan gusi. Kyoreen Dental Aesthetic menyediakan paket dental scaling yang menarik.

Learn More

Operasi Gigi Bungsu

Operasi gigi bungsu diperlukan saat gigi tumbuh tidak sempurna dan tidak mendapat cukup ruang. Dokter Spesialis Bedah Mulut di Kyoreen Dental Aesthetic, siap membantu Anda.

Learn More

Behel Gigi

Pemasangan behel gigi diperlukan saat gigi tumbuh tidak beraturan. Pemasangan behel gigi dapat dilakukan oleh dokter gigi yang berpengalaman di Kyoreen Dental Aesthetic.

Learn More

Veneer Gigi

Senyum yang cantik akan menampilkan gigi yang cantik terawat. Venner gigi, yang merupakan salah satu prosedur kecantikan, akan memperbaiki warna, bentuk dan posisi gigi,

Learn More

Gigi Tiruan

Gigi tiruan atau gigi palsu, dipasang sebagai protesis atau pengganti untuk gigi yang hilang. Dan tentu saja membantu senyum lebih indah dan kepercayaan diri meningkat.

Learn More

Tooth Gem

Tooth Gem adalah tren kecantikan yang menempelkan permata atau rhinestone pada gigi. Kyoreen dental Aesthetic membantu untuk memilihkan permata yang cocok.

Learn More

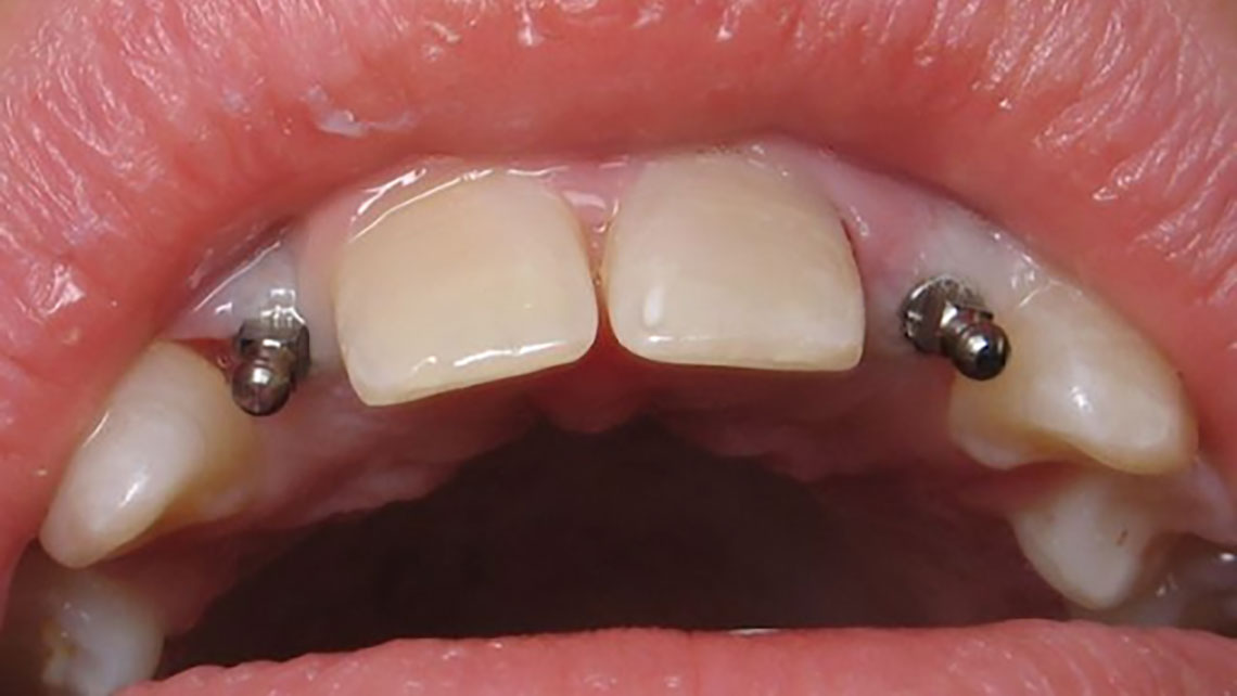
Implan Gigi

Implan gigi merupakan gigi tiruan yang nyaman dengan fitur serupa dengan gigi asli, yang menopang pada tulang rahang. Konsultasikan ke Kyoreen Dental Aesthetic untuk lebih detail.

Learn More

Bleaching Gigi

Miliki gigi putih bersih dan terlihat alami serta rasakan meningkatnya kecerahan senyum Anda. Hubungi Kyoreen Dental Aesthetic untuk bleaching gigi terbaik dan senatural mungkin.

Learn More

800 +

Patient Recover

7 +

Experienced Doctor

155 +

Positive Reviews

2 +

Available Room

Appointment

Call Us And Make An Appointment

An easy appointment system simplifies the process of scheduling a meeting or visit with a professional, making it more convenient, efficient, and stress-free for both the service provider and the customer


Make Appointment

Our Advantage

Best Of Care, Close To Home

It means that individuals can receive high-quality dental care services from skilled professionals within their local area or nearby location. It assures people that they don't have to travel far to access excellent dental care and can receive the treatment they need conveniently and comfortably within their community

Dental Scaling

Perawatan Gigi Anak

Pencabutan Gigi

Penambalan Gigi

Our Expert Doctor

Meet Our Professionals

"Our Expert Doctor" refers to a highly skilled and knowledgeable medical professional who specializes in a specific field of medicine. They have advanced training and experience, making them sought after for their expertise in diagnosing and treating complex medical conditions within their area of specialization.


See More

Get Your Treatment

Contact Us And Get Treatment